老太太做檢查發現《大腦內插了一根針》一問之下發現還是小時候父母親手插的...

圖片來自:youtube
今天這篇老太太做檢查發現「大腦內插了一根針」的消息,其實第一時間讓我聯想到的就是「獵人」這部作品,在嵌合蟻篇的時候奇犽為了好好守護小傑的約會行程,一路上都在做吸引敵人砲火的事情,而且腦內還不斷響起伊耳謎的聲音,最終奇犽戰勝了內心的聲音,成功的在這一章節完成了自己的進化
原汁原味的內容在這裡
圖片來自:youtube
其實一直困擾著奇犽的就是伊耳謎之前埋好的一根針,目的就是怕奇犽遇到高手打不過被幹掉,所以設定了一但無法輕鬆獲勝就必須先逃討的指令,而當時作品中演出的畫面,就是奇犽從大腦裡抽出一根針,而這大腦裡面有根針怎麼想就是動漫劇情的內容,想不到在現實生活也有類似的案例

圖片來自:youtube
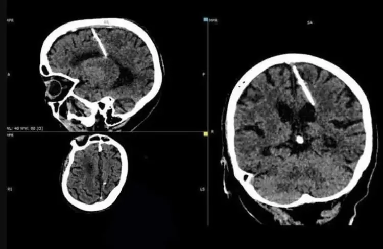
這次新聞內容的地點是俄羅斯,一位大概80多歲的老太太去醫院做檢查的時候,發現片子上接近大腦頂葉的位置竟然斜插著一根金屬針,而且看起來已經放了很長一段時間,與大腦組織和平共存到現在,這件事經過調查後曝光,也成為了前陣子俄羅斯衛生部門裡的一件奇特病例

圖片來自:nypost
為什麼人的大腦裡有跟針呢?這件事被爆出來後也引起了不少醫生、專家前去了解,根據老太太的年紀以及當年所處的年代,推敲出這跟針到底為什麼會出現在腦部的原因,應該是由她的父母親手插進去的,至於為什麼要這麼做呢?往回推測的結果可能是為了家裡其他成員的存活率

圖片來自:sciencealert
80多歲的老太太算算她出生的日子差不多會在1943年,當時蘇聯還處在戰爭期間,這時物資什麼的十分匱乏,因此老百姓的日子並不好過,因此老奶奶的家人為了減少一張嘴吃飯,所以做出了殘害自己小孩的決定,當時所使用的方法就是用一根針從大腦往內插下去,這跟針之後會損害大腦並且慢慢奪走小孩的生命,但意外的點就在於老奶奶生命力強大!一根針插入仍健康的活著,也許這也是讓她父母改變決定,認為既然這麼做都沒事那代表命不該絕,於是老奶奶活到了現在,而這跟針也一路待在大腦裡直到老奶奶80歲

圖片來自:odditycentral
雖然有跟針在大腦裡,但是老奶奶過往生活一切正常,也沒有頭痛或是不舒服的症狀,不過現階段醫生不認為取出是件好事,所以老奶奶接下來就是定期做檢查,而這段故事則提醒了大家那段殘酷的戰爭歲月
部分資料來自網路 ( nypost )













































