異物突入X光照~這才是超痛的瞬間吧!?

圖片來自:http://www.po-kaki-to.com/
基本上阿~我們人體在X光放射線的照射下,皮膚底下的骨骼都會被看得超級清楚,所以在醫學用途上也是相當廣泛的,不過也是有藝術家拿來當成創作的題材,像是X光透視藝術這種~今天秋香要帶大家來看的是在醫院裡頭真人真事,但感覺有夠痛的異物突入X光照..
異物突入X光照
手被釘子穿過

圖片來自:http://www.po-kaki-to.com/原汁原味的內容在這裡
嚥下的別針

圖片來自:http://www.po-kaki-to.com/
嚥下筆、牙刷和2隻叉的胃

圖片來自:http://www.po-kaki-to.com/
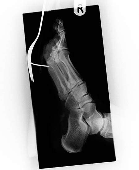
腳被釘子穿過

圖片來自:http://www.po-kaki-to.com/
嚥下剃刀的胃

圖片來自:http://www.po-kaki-to.com/
嚥下湯匙和刀的腸

圖片來自:http://www.po-kaki-to.com/
因為手術,而被留在患者體內的剪刀

圖片來自:http://www.po-kaki-to.com/
從顱骨下方穿過的釘子

圖片來自:http://www.po-kaki-to.com/
10歲少年的頭被刀子穿過

圖片來自:http://www.po-kaki-to.com/
15cm大的腎臓結石

圖片來自:http://www.po-kaki-to.com/
有顆手榴彈在囚犯的顱骨內

圖片來自:http://www.po-kaki-to.com/
囚犯腸內的手機

圖片來自:http://www.po-kaki-to.com/
貫通16歲少年頭部的魚叉

圖片來自:http://www.po-kaki-to.com/
不管是哪個...都感覺超痛的><
部分資料來自網路 ( po-kaki-to )

0 則回應
順序: 新│舊












































