閱覽注意《比裸體還要赤裸的人體內部》電腦斷層掃描之動圖大放送

圖片來自:gizmodo
大家很少看見正在活動的人體內部構造吧?我們去醫院最常照的就是 X 光了,X 光片並不會動。再進階一點的話,大概就是照超音波了,尤其是孕婦在看寶寶的時候,可以看見實況轉播的寶寶模樣。再高一級的話,就是照電腦斷層(CT scan)了,它可以將我們的身體內部赤裸裸地呈現出來。最近美國大公司 General Electric(GE)推出了最新型的電腦斷層掃描機,而他們同時放送了由此電腦掃描機所掃描出的動圖,看起來有點詭異,所以看之前請三思,覺得不想看的人請跳過喔。
心臟電腦斷層掃描

圖片來自:gizmodo原汁原味的內容在這裡
我有一點點看呆了,原來心臟是這種樣子,而且上面還長了人參(喂)。其實電腦斷層是利用 X 光和電腦,來構成我們身體內部的器官、骨頭、血管和肌肉等等的影像。其實也就是利用一張張的影像照片,連結成串,就變成一個 3D 立體影像,所以說這好像有帶一點虛擬的感覺,並不是真實地看見活生生的器官(擦汗)。
腦部電腦斷層掃描

圖片來自:theverge
這是金鋼狼嗎?就是頭骨被砸還能夠自動癒合那樣(大誤啊)。血管彎彎曲曲的,好像蚯蚓喔,我有點怕蚯蚓所以正在起雞皮疙瘩。但從側面看腦中的血管,跟從上方往下看的樣子,非常不同。從側面看(上圖)我覺得血管好像沒有很多,但從上方往下看(下圖),發現血管還真的是有夠密密麻麻的啊。

圖片來自:gizmodo
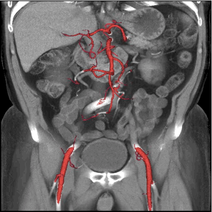
腹部電腦斷層

圖片來自:gizmodo
(遮眼睛)對不起~我忍不住看了不該看的地方,跟我一樣的請舉手(結果都沒人要舉 XD)。肝、腎、肋骨、腸、膀胱... 都有在,很好(喂)。從這腹部電腦斷層可以看見肌肉的樣子,就是大腿的地方。General Electric 這款電腦斷層掃描機,是真的可以造福許多民眾喔,因為它的最大亮點就是掃描速度超級快,據說掃描心臟只需要一個心跳的時間就完成了,在醫院使用的結果都受到極大好評,大大地減輕了病人做檢查時的壓力。最後要給大家看的,是讓我非常不舒服的蚯蚓大放送(閉眼)。
蚯蚓大放送

圖片來自:theverge
今天晚上打死我都不吃麵食(昏)。
部分資料來自網路 ( gizmodo )













































